Contenido Digital
Disponible para consulta post curso
Modalidad Presencial
Teórico y práctico dividido en sesiones
Experiencia Certificada
Potencia tu perfil profesional y conocimientos
Webinar 31 de Octubre
Es la sesión Esencial de Regeneración Ósea con temática de Halloween: sin trucos, solo protocolo. El Dr. Abel Escárcega Ochoa...
Explorar los cursos más populares
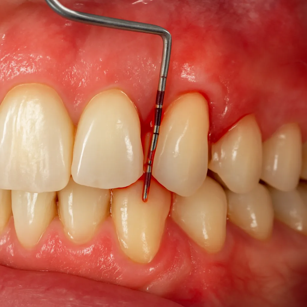
Actualización en Periodontología Clínica
- 6 Lessons
- 11 Students
Webinar 31 de Octubre
Es la sesión Esencial de Regeneración Ósea con temática de Halloween: sin trucos, solo protocolo. El Dr. Abel Escárcega Ochoa...
¡Participa en nuestro Webinar y obtén un 10% de descuento!
Eleva tu práctica odontológica al siguiente nivel con nuestros cursos de actualización continua.
Aprende de expertos, domina nuevas técnicas y certifícate con aval académico reconocido.
Formación 100% práctica, flexible y diseñada para profesionales exigentes.
Preguntas frecuentes
Al finalizar el webinar, te enviaremos un enlace exclusivo para que puedas inscribirte con el 10% de descuento en nuestros cursos.
Ofrecemos modalidades 100% en línea, presenciales y combinadas (blended learning), adaptándonos a tu ritmo y necesidades profesionales.
Depende del curso. Algunos están diseñados para odontólogos en formación, y otros requieren título profesional o experiencia previa. Consulta los requisitos específicos en cada programa.
Lo que dicen los alumnos
omar este curso fue una de las mejores decisiones para mi carrera. El contenido es actual, práctico y aplicable desde el primer día. Además, el certificado me abrió nuevas oportunidades profesionales.
La calidad de los instructores es impresionante. No solo aprendí técnicas innovadoras, sino que también mejoré mi forma de atender a mis pacientes. ¡Recomiendo estos cursos a cualquier odontólogo que quiera crecer!
Me encantó la flexibilidad del formato en línea. Pude estudiar a mi ritmo sin descuidar mi consultorio. El acompañamiento del equipo académico fue excelente en todo momento.



